Call me back

We’re Accepting New Patients!

Read More Next

Looking for a caring and professional dental practice? We’re excited to welcome new patients to our clinic! Whether you’re due for a check-up, need treatment, or are looking to enhance your smile, our friendly team is here to help.
Contact us today to book your first appointment—we look forward to meeting you!

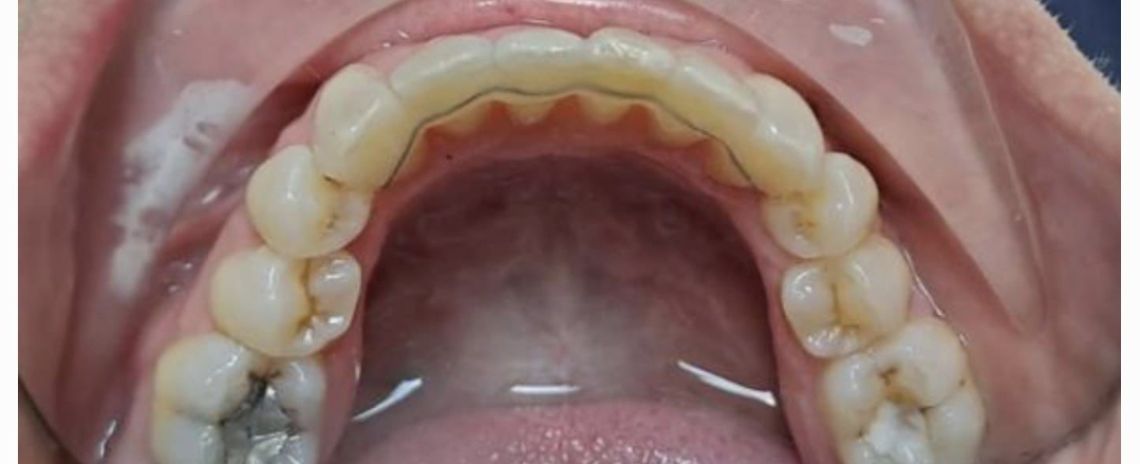
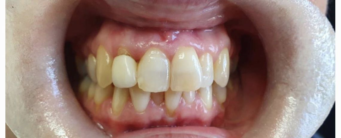
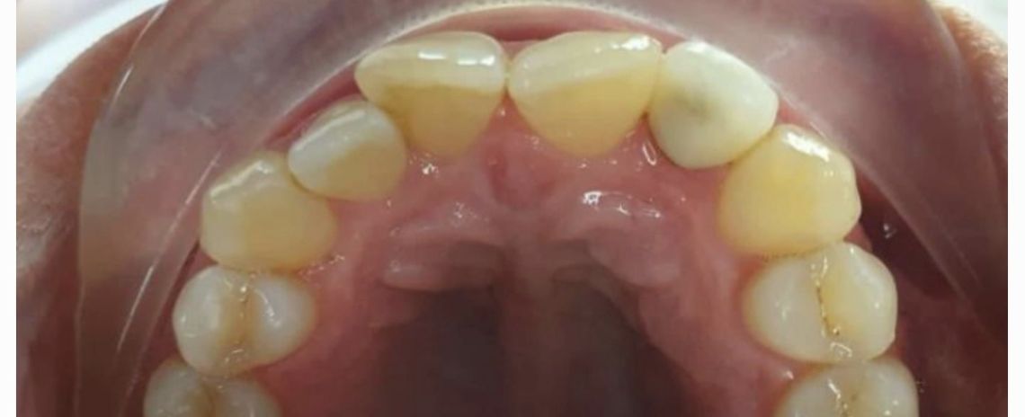
Angel Aligners

Revolutionise your smile with Angel Aligners at Shipston Dental Practice - a highly convenient, discreet, and effective teeth straightening treatment. 

Blending cutting-edge technology, comfort, and subtlety, Angel Aligners offer an orthodontic solution designed to meet the needs of modern life.

We’re proud providers of Angel Aligners and are happy to offer this innovative teeth alignment treatment to patients in Warwickshire. Book your consultation at our practice today. 

Book your Angel Aligner consultation

Ready to start your angel aligners journey?

Need more information before taking the next step?

Book your consultation today. 

The Benefits of Angel Aligners

There are numerous advantages to Angel Aligners' orthodontic treatment - just take a look for yourself:

- They’re removable - Convenient, removable aligner trays can be removed when eating, making it easier to maintain your oral hygiene routine. 

- They’re comfortable - Angel Aligners feature smooth edges to reduce gum irritation, which differs from traditional metal braces.

- They’re discreet - The clear plastic aligner trays are barely noticeable, making treatment more inconspicuous to others. 

- Proven results - Angel Aligners has successfully enhanced over 1 million smiles worldwide, instilling patients with newfound confidence. 

- Advanced technology - Thanks to modern digital treatment planning, you can see your predicted results before treatment.   

How Do Angel Aligners Work?

The process starts with the development of your custom treatment plan using 3D scans and digital technology to create your bespoke aligner trays.

Angel Aligners Pro use a unique '7+3' dual aligner system to shift your teeth into more desirable positions for a straighter, more aesthetically appealing smile. You’ll wear two types of aligners in a two-phase approach. For the first seven days, a softer, more flexible aligner is worn, which applies a light, steady pressure. After that, you’ll swap to a rigid tray for three days that provides precise control over the movement of each tooth. 

Treatment times vary depending on the complexity of each case.

Angel Aligners

Angel Aligners Fees
Angel Aligners - Single Arch
Prices vary for this treatment. The exact cost will depend on your individual treatment plan, which will be discussed and confirmed following your consultation.
Fees: From £1,595
Angel Aligners - Double Arch
Prices vary for this treatment. The exact cost will depend on your individual treatment plan, which will be discussed and confirmed following your consultation.
Fees: From £2,995

Dentist

Dr Devik Patel

Dev qualified in 2009 at Birmingham University, where he went on to work in numerous practices, from the NHS to Private. Trust, understanding, and respect are qualities that he believes are very important when meeting a new dentist. Devs' passions lie in cosmetic dentistry, preventative and minimally invasive dentistry and orthodontic treatment. He loves seeing his patients and getting to...

Dr Devik Patel

Take the first step toward a straighter, healthier smile with Angel Aligners. Book your personalised consultation today and discover how comfortable, discreet treatment can fit seamlessly into your life.